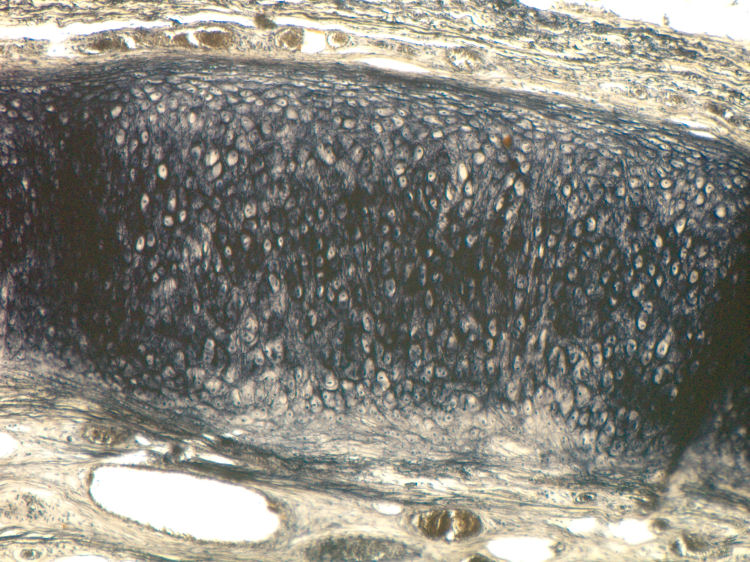
back Resorcin-fuchsin stain of elastic cartilage in the ear

back

© augustus 2012 marius loots