back
Fig 11-001
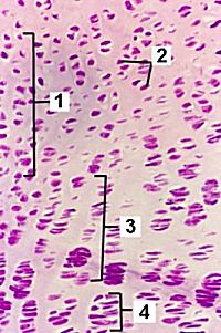
A magnification of a section through the metaphysis of the epiphysial plate of a long bone demonstrating the upper functional and morphological stages of the six of endochondral bone development.
1. Resting zone
2. Chondrocytes
3. Proliferation zone
4. Maturation zone
back


© desember mm marius loots