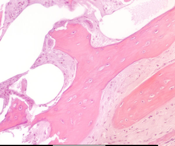
High magnification of immature bone
Groeilyne / Growth reversal lines Howship lakunae / Howship lacunae Lakunae / Lacunae Osteosiete in lakunae / Osteocytes in lacunae Endosteale selle / Endosteal cells Osteoblaste / Osteoblasts Osteoklast / Osteoclast
Date: 18 September 2009
© september 2009 marius loots