back
Spinal Ganglion Slide 26 (H & E)

Clinical Case
While doing your community service at a remote clinic in the Northern Province, a hysterical mother arrives at the clinic with a very sick toddler.

On physical examination, the child has a temperature of 40.6°C. Abnormalities of the autonomic nervous system include dilated irregular pupils and perspiration. You also find evidence of upper motor neuron paralysis, with weakness, increased deep tendon reflexes, and extensor plantar responses. According to the mother, the child has suffered from fever, myalgias, anorexia, nausea and vomiting for the past five days. While examining the patient, he lapses into a coma followed by an apneic death.

During the autopsy, you find Negri bodies in the neurons distributed throughout the brain, particularly in the cerebral cortex, the Purkinje cells of the cerebellum, and the dorsal spinal ganglia. This is indicative of rabies.

  • Are connective tissue septa present in this ganglion?
  • Which type of neuron is present and what is the appearance of the Nissl substance?
  • How does the Nissl substance differ from that of a multipolar neuron?
  • What is characteristic of the arrangement of the satellite cells?
  • Are these axons myelinated?
Microscopy

A very low magnification of the spinal cord showing the position of the spinal ganglion in relation to the spinal column.

Fig 26-003
Fig 026-003


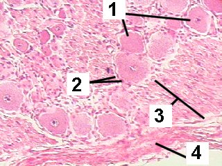
A high magnification of the spinal ganglion demonstrating the different structures that it consists of.

Fig 26-007
Fig 026-007


Memorandum
Clinical Case Fig 26-007 Fig 26-003

back

© mei mm marius loots