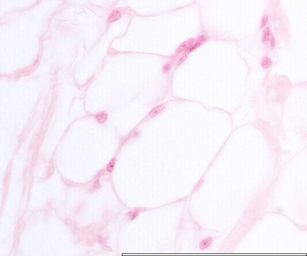
Vetselle
Fat cells
Kerne /
Nuclei
Vetdruppel /
Fat drop
Date: 28 Oktober 2008
X
Y
Scale bar:
red
white/black
blue
No of bars:
Scale Point A
:
Scale Point B
:
Length A to B - Point A:
:
Point B:
:
© november 2008 marius loots