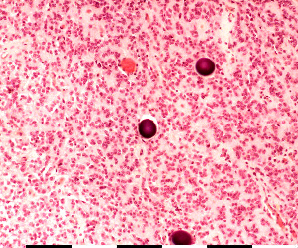
Pineal gland: High magnification
Breinsand / Brein sand
Pinosiete / Pinealocytes
Bloedvate / Blood vessels
Glia selle/ Interstitial (glial) cells
Fibroblaste / Fibroblast
Selle in die pineaalklier / Cells in the pineal gland
Medium vergroting / Medium magnification
© januarie 2007 marius loots