back

Fundus of stomach Slide 37

The following five figures demonstrate the different structures of the fundus of the stomach.

Clinical case
One of your male patients, a self-acknowledged workaholic, complains of sharp, burning, or gnawing epigastric pain.

The pain occurs 90 min to 3 h after eating and frequently awakens the patient at night. It is usually relieved within a few minutes by food or antacids or after vomiting. The vomitus tastes acidic.

Barium radiographic examination used to establish the diagnosis, identified one gastric and two duodenal ulcers.

  • What happens to the epithelium at the oesophagus-stomach junction?
  • List the different cells that are present in the gastric glands in the different areas of the stomach.
  • How does the mucosa of the stomach differ with repect to the glands in the different parts of the stomach?
  • Which of these cells display basophilia and why?
  • What is characteristic of the structure and staining of a parietal cell and why?
  • How would you distinguish the mucosa of the stomach from that of the duodenum?
  • What is the difference between rugae and plicae circulares?
  • Which structures project into the lumen of the duodenum and which invaginate into the mucosa?
  • What is a Paneth cell and where would you find it?
  • What is the difference between villi and microvilli and why do they occur?
  • Which nerve plexi do you find in the stomach and intestines?
  • Where would you find Brunner glands and what to they secrete?
Microscopy

A very low magnification of the stomach fundus demonstrating the rugae and layers.

Fig 37-001
Fig 37-001


A low magnification of the stomach fundus showing the mucosa and submucosa.

Fig 37-002
Fig 37-002


A higher magnification of the mucosa of the fundic stomach demonstrating the structures.

Fig 37-003
Fig 37-003


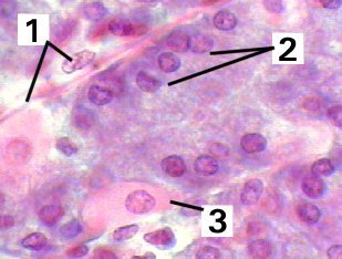
A very high magnification of the base of a gastric gland.

Fig 37-004
Fig 37-004


A high magnification of the luminal portion of the mucosa demonstrating the different structures.

Fig 37-005
Fig 37-005


Memorandum
Clinical Case Fig 37-001 Fig 37-002
Fig 37-003 Fig 37-004 Fig 37-005

back
© april mm marius loots