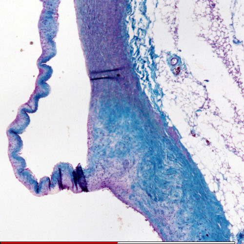
Structures surrounding the semilunar valves
Kleuring / Staining Annulus fibrosus / Annulus fibrosus Aorta / Aorta Endokardium / Endocardium Halfmaan klep / Semilunar valve Lumen van aorta / Lumen of aorta Bloedvloei / Blood flow Lumen van ventrikel / Ventricular lumen