back

Heart Slide 47 (Masson's trichrome)

The slide of the heart is a section through a portion of the heart. The red square in the diagram illustrates the area of the heart the section was taken from.

Diagram 1
Diagram 1


Orientation with respect to the structures on slide.

The following diagram is a representation of the structures and their positions on the slide.

Orientate yourself with respect to the slide by holding the slide up to the light and identifying the same structures named in diagram 2.

Diagram 2
Diagram 2


Diagram 3
Diagram 3


Microscopic structures of the Heart

Structures of the myocardium

On your own slide identify the same structures to get a correct location and size of these structures under the microscope:

Masson's trichrome stain, stains muscle purple-red and connective tissue elements green while nerve components stain a lighter purple-red.

A low magnification of the components of the myocardium.

Fig 47-001
Fig 47-001


A higher magnification of the different components of the myocardium

Fig 47-002
Fig 47-002

What is the connective tissue surrounding the heart muscle fibers called?

With what does this connective tissue connect on the inside and outside of the myocardium?


Structure of the nerve components

A low magnification of the nerve components of the heart.

Fig 47-003
Fig 47-003


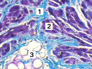
A high magnification of the nerve components demonstrating the cardial neurons.

Fig 47-004
Fig 47-004

In which layer of the heart is the structure marked 1 & 2 in Fig 47-004 generally found?


Structure of the valves

A low magnification demonstrating the origin of the valve as an endocardial fold.

Fig 47-005
Fig 47-005


A very high magnification demonstrating the structure of the semilunar valve.

Fig 47-006
Fig 47-006


Structure of the endocardium

A high magnification demonstrating the layers of the endocardium.

Fig 47-007
Fig 47-007


Structure of the aorta

A low magnification at the start of the aorta demonstrating the structure of the tunica medica stained with Masson's trichrome (The tunica intima is not clearly visible and the adventitia is absent.)

Fig 47-008
Fig 47-008


A very high magnification of the tunica media demonstrating the different structures.

Fig 47-009
Fig 47-009


Memorandum
Clinical Case Fig 47-001 Fig 47-002
Fig 47-003 Fig 47-004 Fig 47-005
Fig 47-006 Fig 47-007 Fig 47-008
Fig 47-009    

back


© januarie mmi - 202 marius loots