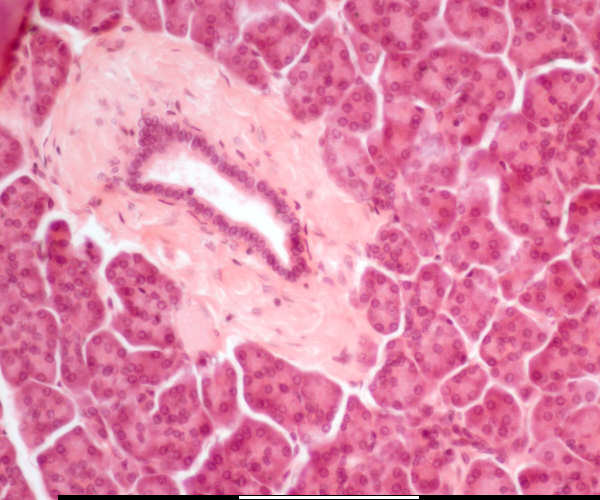
High magnification of the pancreas
Lumen / Lumen Kerne / Nuclei Luminale oppervlak / Luminal surface Basale oppervlak / Basal surface Laterale grense / Lateral borders Kubies tot lae silinderepiteel / Cuboidal to low columnar epithelium Groter intralobulêre afvoerbuis / Larger intralobular duct Kern van sentro-asinêre sel / Nucleus of centro-acinar cell Asinus / Acinus Apikale asidofiliese sitoplasma / Apical acidophilic cytoplasm Basofiliese basale sitoplasma / Basophilic basal cytoplasm