back
Fig 52-001
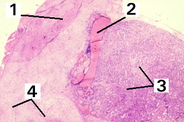
This is a very low magnification of a section through the pituitary gland demonstrating the different parts of the gland.
Fig 52-001 1. Pars tuberalis
2. Pars intermedia
3. Pars distalis
4. Pars nervosa
back


© januarie mmi - 202 marius loots