back
Fig 52-002
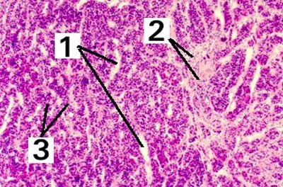
This is a low magnification of a section through the pars distalis demonstrating the different structures.
Fig 52-002 1. Sinusoids
2. Connective tissue
3. Groups of adenohypophysis cells
back


© januarie mmi - 202 marius loots