back
Fig 52-003
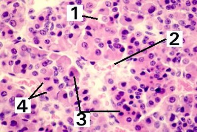
This is a higher magnification of a section through the pars distalis illustrating the different cell types.
Fig 52-003 1. Chromophobe
2. Blood vessel
3. Basophils
4. Acidophils
back


© januarie mmi - 202 marius loots