back
Fig 52-006
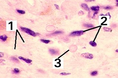
This is a low magnification of a section through the pars nervosa illustrating the different cells and structures.
Fig 52-006 1. Nerve fibers
2. Pituicytes
3. Herring-body
back


© januarie mmi - 202 marius loots