back
Fig 54-001
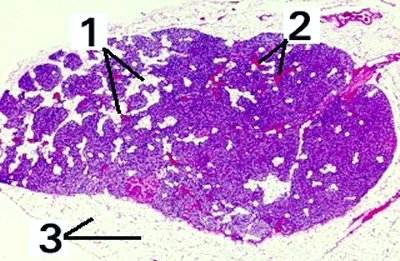
This is a very low magnification demonstrating a whole parathyroid gland.
Fig 54-001
1. Fat cells
2. Blood vessels
3. Connective tissue
back


© januarie mmi - 202 marius loots