back
Fig 56-003
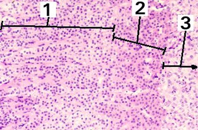
This is an enlargement of the deeper part of the cortex of the adrenal gland.
Fig 56-003 1. Zona fasciculata
2. Zona reticularis
3. Medulla
back


© februarie mmi marius loots