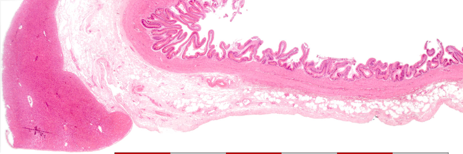
Lae vergroting van die galblaas en lewer
Low magnification of the gallbladder and liver
Lewer /
Liver
Mukosa /
Mucosa
Muscularis externa
Adventitia
Serosa
Grense van lae /
Boundaries of layers
Date: 24 Oktober 2008
X
Y
Scale bar:
red
white/black
blue
No of bars:
Scale Point A
:
Scale Point B
:
Length A to B - Point A:
:
Point B:
:
© mei 2008 marius loots