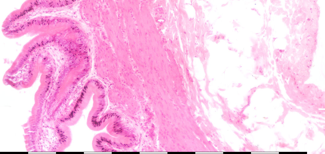
Medium vergroting van die galblaas
Medium magnification of the gallbladder
Vol beeld /
Full image
Mukosa /
Mucosa
Muscularis externa
Serosa / Adventitia
Endoteel /
Endothelium
Vetweefsel /
Fatty tissue
Epiteel /
Epithelium
Lamina propria
Date: 24 Oktober 2008
X
Y
Scale bar:
red
white/black
blue
No of bars:
Scale Point A
:
Scale Point B
:
Length A to B - Point A:
:
Point B:
:
© januarie 2008 marius loots