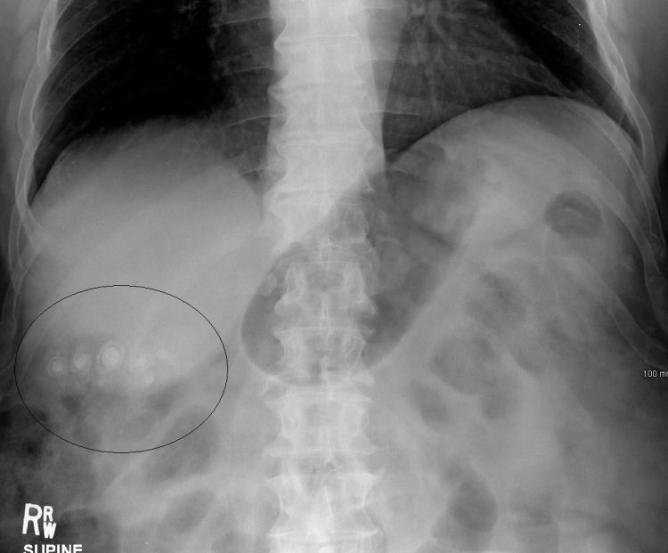
back Gall stones as seen on plain X-ray
Help Histoweb

Source: StonesXray.PNG
Author: James Heilman, MD
Licence: Creative Commons Attribution-Share Alike 3.0 Unported

back

X   Y

© april 2012 marius loots