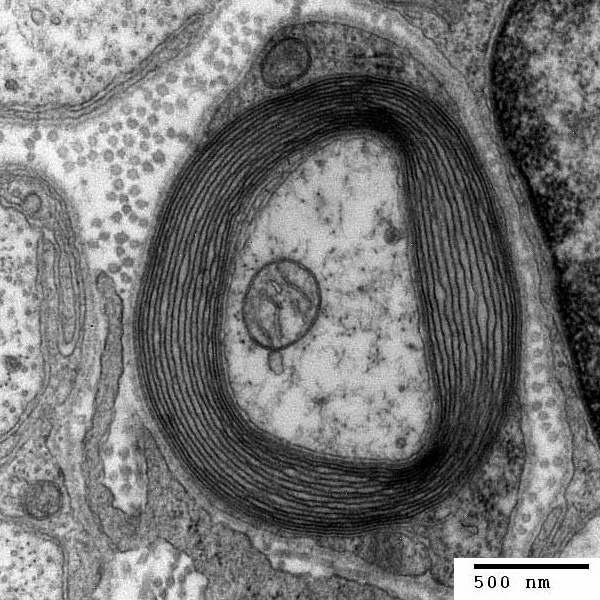
back myelinated axon
Help Histoweb

Source: Electron Microscopy Facility at Trinity College
Date: 10 May 2007
Author: Roadnottaken
Licence: Creative Commons Attribution-Share Alike 3.0 Unported

back

X   Y

© januarie 2012 marius loots