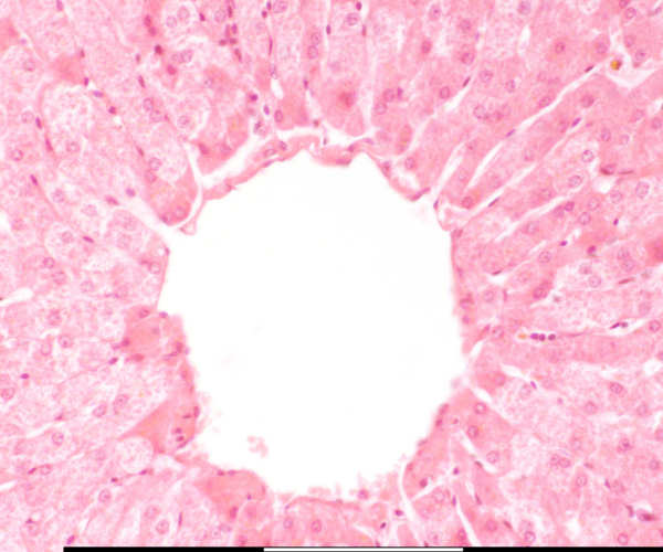
High magnification of the central vein
Sentrale vena / Central vein Bindweefsel / Connective tissue Openinge van sinusoïede / Openings of sinusoids
Date: 8 Januarie 2008