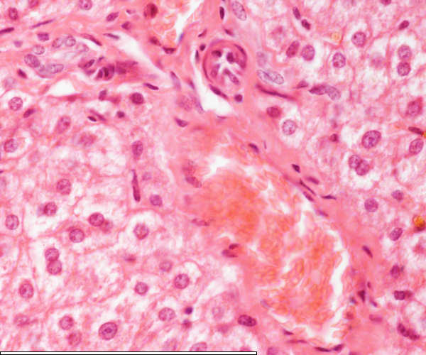
High magnification of the portal triad
Portale triade / Portal triad Portale vena / Portal vein Hepatiese arterie / Hepatic artery Galbuis / Bile duct Limfbuis? / Lymphatic vessel? Endoteel / Endothelium Rooibloedselle / Red blood cells
Date: 8 Januarie 2008