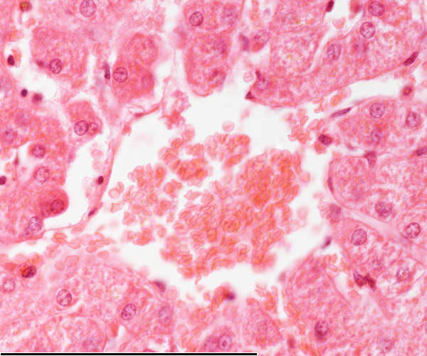
High magnification of the central vein
Endoteel / Endothelium Sentrale vena / Central vein Rooibloedselle / Red blood cells Sinusoïede / Sinusoids Kerne van hepatosiete / Nuclei of hepatocytes
Date: 8 Januarie 2008