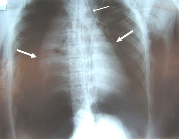
back tracheobronchial injury
Help Help Histoweb

Source: Le Guen et al. Critical Care 2007 11:R94 doi:10.1186/cc6109
Date: 3 September 2007
Author: Morgan Le Guen, Catherine Beigelman, Belaid Bouhemad, Yang Wenjïe, Frederic Marmion
Licence:

back

X   Y

© januarie 2010 marius loots