back pneumothorax
Help Help Histoweb

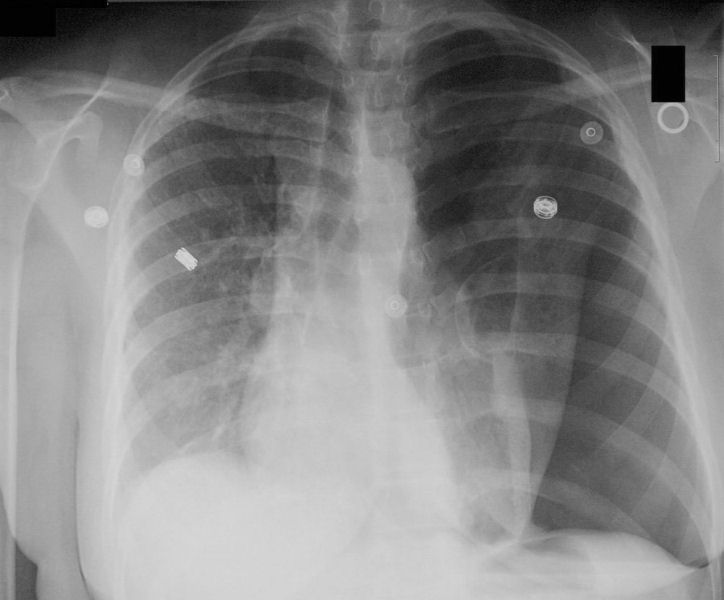
Source: Pneumothorax CXR.jpg
Date: 7 November 2006
Author: Clinical Cases
Licence: Creative Commons Attribution ShareAlike 2.5

back

X   Y

© januarie 2010 marius loots