back
Fig 83-002
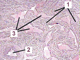
This is a very high magnification of the penis demonstrating erectile tissue.
Fig 83-002 1. Trabecula with smooth muscle and loose connective tissue
2. Blood vessel
3. Blood spaces lined with endothelium
back


© februarie mmi marius loots