back
Parotid salivary gland Slide 85 (H & E)

This slide demonstrates the structure of the parotid.

Clinical case
A middle-age woman consults her doctor because she has difficulty in swallowing dry food, an inability to speak continuously and a burning sensation in her mouth.

Physical examination shows a dry, erythematous, sticky oral mucosa and atrophy of the filiform papillae on the dorsum of the tongue. She also complains of dry eyes, with a sandy or gritty feeling under the eyelids. She is diagnosed with Sjögren's syndrome (A deficient secretion of the salivary, lacrimal and other glands).

  • How would you classify the parotid gland with respect to its secretory units?
  • In which salivary gland(s) would you expect to find demilunes?
  • Which salivary gland contains predominantly serous secretory units?
  • How would you identify serous and mucous secretory units microscopically?
  • Which specialised cells surround the secretory units?
  • Distinguish histologically between ductus intercalaris and ductus salivalis.
Microscopy

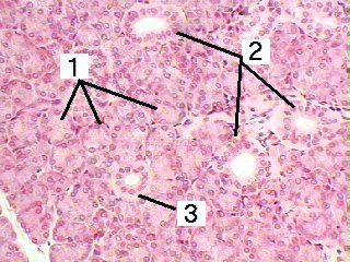
This is a very low magnification of the parotid illustrating the general structure and secretory ducts.


Fig 7
Fig 85-002


This is a higher magnification of the secretory units and the intra- and interlobular secretory ducts of the parotid.

Fig 8
Fig 85-003


Memorandum
Clinical case 85-002 85-003

back


© maart mm marius loots