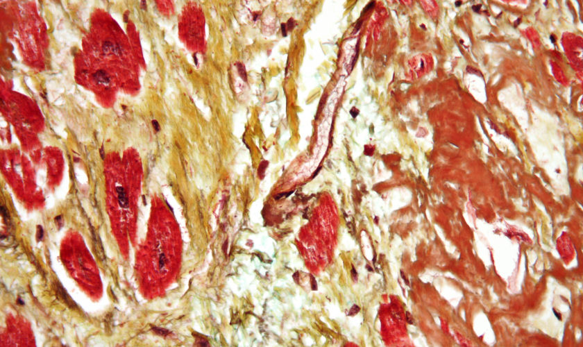
back cardiac amyloidosis
Help Help space Help Help Histoweb

Source: Cardiac amyloidosis very high mag movat.jpg
Date: 4 December 2009
Author: Nephron
Licence: Creative Commons Attribution-Share Alike 3.0 Unported

back

X   Y

© januarie 2010 marius loots