back
Fig 88-005
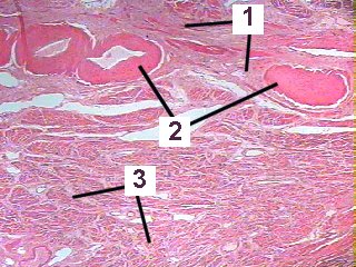
This is a low magnification of the uterus demonstrating the myometrium.
Fig 88-005 1. Connective tissue
2. Large arteries
3. Smooth muscle
back


© februarie mmi marius loots