back
Fig 91-002
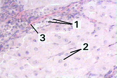
This is a high magnification of the corpus luteum demonstrating the different cells.
Fig 91-002 1. Theca lutein cells
2. Granulosa lutein cells
3. Connective tissue
back


© februarie mmi marius loots