back
Scalp Slide 95 (H & E)

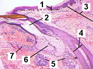
This is a very low magnification illustrating the layers, hair follicles, sebaceous glands and sweat glands.

Fig 95-002
Fig 95-002


A low magnification of a cross section through the scalp demonstrating the different structures that are present.

Fig 95-003
Fig 95-003


A higher magnification of a cross section through the scalp demonstrating the structure of sebaceous glands.

Fig 95-004
Fig 095-004


A low magnification of the scalp demonstrating the structure of hair follicles.

Fig 95-005
Fig 095-005


A very high magnification of a cross section through a hair follicle.

Fig 95-006
Fig 095-006


Memorandum
Clinical Case Fig 95-002 Fig 95-003
Fig 95-004 Fig 95-005 Fig 95-006

back


© junie mm marius loots