back
Fig 114-004
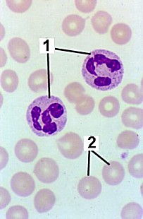
A magnification of a blood smear demonstrating neutrocytes.
1. Neutrocytes
2. Red blood cells (Erythrocytes)
back


© desember mm marius loots