back
Fig 114-005
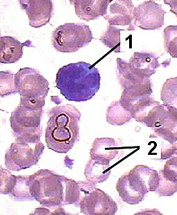
A magnification of a blood smear demonstrating basophils.
1. Basophil
2. Red blood cells (Erythrocytes)
back


© desember mm marius loots