back
Fig 114-006
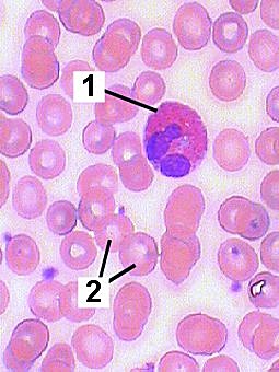
A magnification of a blood smear demonstrating eosinophil.
1. Eosinophil
2. Red blood cells (Erythrocytes)
back


© desember mm marius loots