back  

Blood

   

Overview

 

Clinical case

Sickle-cell disease

Workbook tasks

Slide 114: Blood smear

Wrights

This is a blood smear to demonstrate red and white blood cells.

Identify microscopically:

  1. Erythrocytes
  2. Neutrophils

  3. Eosinophils

  4. Basophils

  5. Lymphocytes

  6. Monocytes

Draw and annotate:

The different blood cells and their distinguishing characteristics in detail.

Do the virtual differential white blood cell count.

 

Reflection:
  1. How are the different white blood cells distinguished from one another? Explain.

Differential White Cell Count

Step-by-step

  1. Preparation: Theory
    • List the cellular components of blood.
    • Describe the cellular components of blood.
    • Review the characteristics of each of the WBC.
    • Look up the normal range for each of the WBC.
    • Use Image Search and find examples of the WBC.

  2. Preparation: Recording results
    Prepare an A4 table to record your results.

    Normal range = Image Drawing Description Seen Total % < = >
    Neutrophils
    Eosinophils
    Basophils
    Lymphocytes
    Monocytes
    Total= Total= 100%

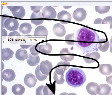
  3. Prepare to count
    • Open the blood smear (slide 114).
    • Get a feel.
    • Start at the top left.
    • Zoom to about 20% magnification.
    • Scroll from left to right then right to left until you reach the end of the slide.
    • Get a feel for the distribution of the WBC on the slide.

  4. Count
    • Open the blood smear (slide 114).
    • Do the count.
    • Start at the top left.
    • Zoom to about 60% magnification. Zoom higher when needed.
    • Scroll from left to right then right to left until you reach the end of the slide.
    • At each object on the slide, decide: artifact, platelets or WBC.
    • Identify the specific type of WBC and add to your running count in the table.

  5. Calculate
    • For each of the WBC, calculate the % of total.
    • No of WBC รท Total WBC x 100 = %
    • Compare your values to the normal values.
    • All values should be within normal ranges.

    If your values are not within the normal ranges, you have misdiagnosed your patient.

 

Slides

  Differential white blood cell count
 
 
back
© februarie 2008 marius loots