 |
Respiratory System |
|
Identify the structures
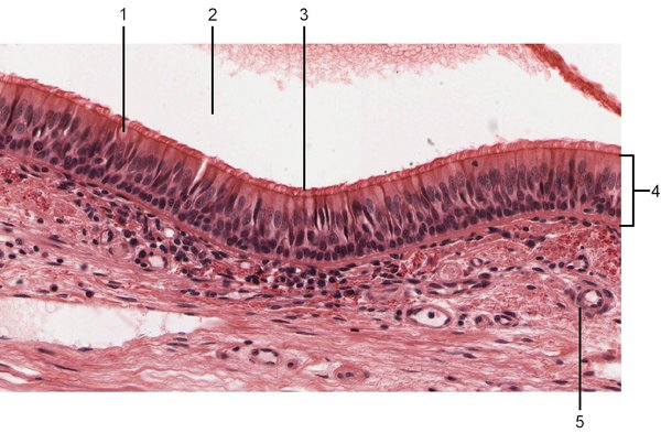
Identify the structure and epithelium
Identify the epithelium
In which of the two main parts of the respiratory system are these structures located?
This is a diagram of the __________.
The process taking place here is __________.
Microscopic view
Normal lung tissue
What condition is illustrated in this diagram?
|
 |
|
|