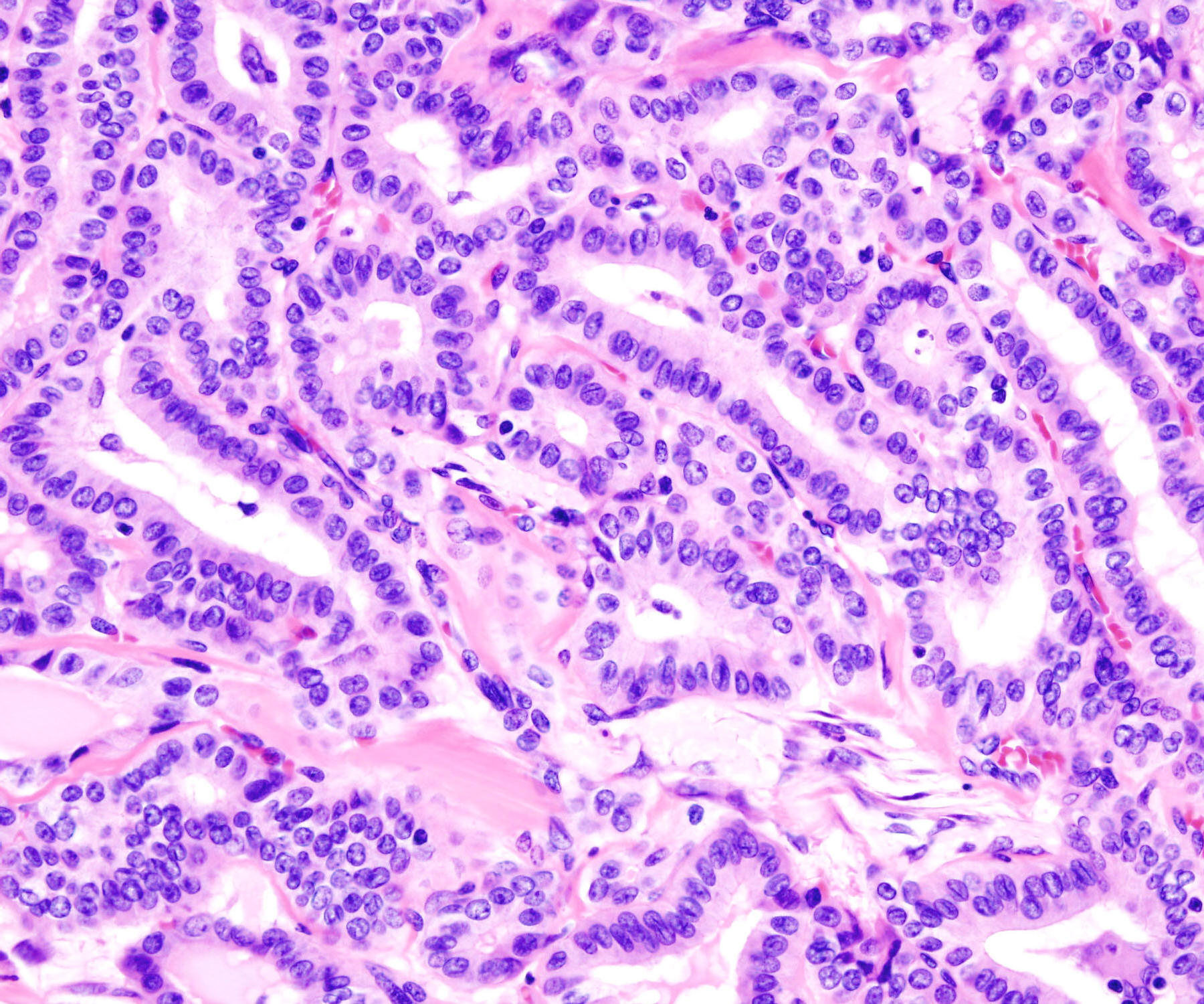
Papillêre karsinoom van die tiroïed
Thyroid papillary carcinoma
Source:
Thyroid_papillary_carcinoma_histopatholgy_(2)
Date: 8 January 2006
Author:
KGH
Licence:
GNU Free Documentation License
© oktober 2007 marius loots