back
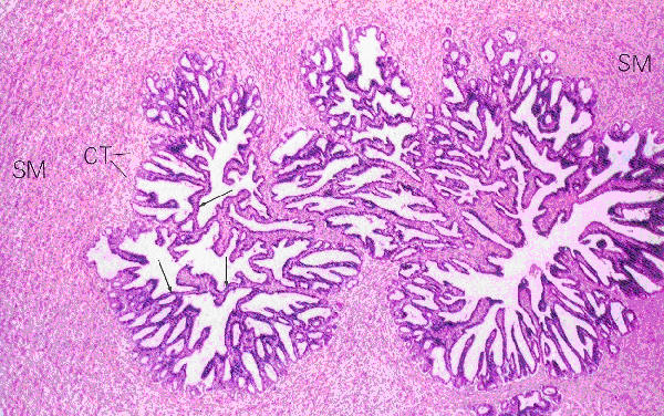
Vesicula seminalis

Seminal vesicle

SM: Smooth muscle
CT: Connective tissue
Source: Ross and Romrell plate 87 Figure 1 (p. 725)

Licence: Copyrighted

back


© september 2007 marius loots