Histology; Microscopy and Ultrastructure of the Cell

Help

  • esc key shows all the slides
  • arrows left right advance the slide
  • mobile device swipe left right
  • slides can go left-right and up-down
  • ? gives instant help
  • menu bottom left
To save as PDF, see last slide.
How to get the most from the revision slides
  • Have a pen & paper ready
  • Answer every question
  • Attempt to label all slides
  • Mark your answer after answering
  • Elaborate on each answer
  • Add relevant clinical content
  • If you have trouble, ask - you know where

Calibration

Community of Truth

What is my answer?
What is the correct answer?
I am am wrong, what was my error?
THUS: Find the truth

Philosophy 1

What is the least amount of work I can do so I can get out of here.

Philosophy 2

Today and Now I will do something for my future self.

Calibration

Assess yourself on each question.
Label all unlabelled slides.

You want incremental improvements over time.
Going up

Assess yourself
Nailed it!
Yes
Not sure...
No
Nailed it!
Not sure...

Histology

Why Histology?

Where does Histology fit?

Endpoint?

  • Clinical application
  • VERY topical example
  • Aging immunity may exacerbate COVID-19
    • Arne N. Akbar, Derek W. Gilroy
    • Science 17 Jul 2020:
    • Vol. 369, Issue 6501, pp. 256-257
    • DOI: 10.1126/science.abb0762

Find the Histology:

Catnip

Histology: Foundational Knowledge

Levels of Organisation

Why histology?

  • Knowledge
    • Because all knowledge is worthwhile
    • The more you know, the more you are able to know
  • Know the normal to identify the abnormal
    • Pathology
  • Functions of many organs
    • Lung, Kidney, Liver
    • Informed by cellular organisation
    • Physiology
  • Structure of body informed by cellular organisation
    • Anatomy
  • Inflammation, Repair & Treatment dependent on cellular organisation
    • Pharmacology

What in Histology

Basic framework to work from

Unlabelled images

The next slide shows an unlabelled image. Whenever you come across an unlabelled image, attempt to identify as many of the marked structures, BEFORE going to the next slide. Give yourself a score for each attempt, and when you revise, aim for an improvement on your previous score.

Remember - incremental improvements

Histology How

Histology is a visual subject.

You have to look at, identify, draw.

Pictures, illustrations, diagrams.

The Cell

Ultrastructure of the cell

The cell

  • Smallest unit living matter
  • Two compartments
  • Nucleus
    • Contains chromatin -> genetic material
  • Cytoplasm
    • Organelles -> metabolically active units
    • Inclusions -> inert accumulations
    • Cytoskeleton

Nucleus

  • Contains genetic material
  • Encoded in DNA of chromosomes
  • Euchromatin
    • lightly stained
    • dispersed chromatin
    • being transcribed
  • Heterochromatin
    • densely stained
    • not being transcribed

Nuclear envelope

  • Two parallel membranes
  • Separated by peri-nuclear space
  • Inner and outer continuous at nuclear pore
  • Nuclear pore interrupt double membrane
  • Outer nuclear membrane
  • Ribosomes attached
  • Continuous with endoplasmic reticulum
  • Inner nuclear membrane
  • Meshwork interwoven filaments
  • Fibrous lamina (nuclear lamina)
  • Anchoring site for interphase chromosomes

Nuclear pore

  • Membrane-bounded channel between nucleus and cytoplasm
  • Outer and inner membrane continuous around pore
  • Provide communication between nucleus and cytoplasm

Nucleolus

  • Well-defined nuclear inclusion
  • Seen in cells actively synthesizing protein
  • Involved in
    • Synthesis rRNA
    • Packaging rRNA into precursors of ribosomes

Cytoplasm organelles

  • Cell membrane
  • Glycocalyx
  • Ribosomes
  • Rough endoplasmic reticulum
  • Smooth endoplasmic reticulum
  • Mitochondria
  • Golgi apparatus
  • Lysosomes
  • Residual body
  • Peroxisome
  • Centrioles

Cytoplasm Cytoskeleton

  • Microtubules
  • Actin microfilaments
  • Myosin filaments
  • Myosin
  • Intermediate filaments
  • Keratin filaments
  • Desmin filaments
  • Vimentin filaments
  • Neurofilaments
  • Glial filaments
  • Microtrabecular lattice

Cytoplasm Inclusions

  • Glycogen
  • Lipid droplets
  • Secretion granules

Cell membrane

  • Surrounds cell
  • Boundary between cell & outside world
  • Phospholipid bilayer with integral proteins
  • Phospholipid
  • Hydrophilic ends face outwards
  • Hydrophobic chains project inwards
  • Protein position varies

Glycocalyx

  • On external surface of plasma membrane
  • Plays role in immunological specificity
  • Contains blood group antigens
  • Has receptor sites
  • Protective mechanical barrier
  • Can contain enzymes

Ribosomes

  • Composed of rRNA & proteins
  • Cluster in groups along mRNA to form polyribosomes
  • Synthesize proteins

Rough endoplasmic reticulum

  • Sheets & cavities bound by membranes
  • Outer surface studded with ribosomes
  • Interior region called cisternae
  • Has receptors where ribosomes bind
  • Common in cells synthesizing proteins for export
    • ie Secretory proteins

Smooth endoplasmic reticulum

  • Irregular network membrane-bound channels
  • Without ribosomes
  • Branching & anastomosing tubules & vesicles
  • Function depends on cell
    • Steroid hormone synthesis
    • Drug detoxification
    • Metabolism of lipids & cholesterol
    • Calcium ion homeostasis

Lysosomes

  • Membrane-bound dense bodies
  • Contains hydrolytic enzymes
  • Functions in intracellular digestion

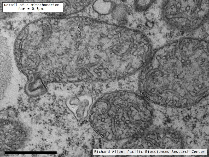
Mitochondria

  • Rod-shaped organelles
  • Double-membrane structure
    • Outer membrane surrounds entire organelle
    • Inner membrane folds into interior
  • Inner membrane form cristae
  • Have enzymes for Krebs cycle & fatty acid oxidation
  • Contain own genetic apparatus
    • DNA, mRNA, tRNA & rRNA
  • Produces adenosine triphosphate (ATP)

Golgi apparatus

  • Several disk-shaped cisternae arranged in a stack
  • Two sides on stack
    • Outer convex forming face
      • Associated with small vesicles
      • Usually from rough endoplasmic reticulum
    • Inner concave maturing face
      • Associated with condensing vacuoles
      • Secretory materials condensed into granules
  • Functions
    • Membrane recycling & redistribution
    • Synthesis carbohydrates & proteins
    • Modification of cellular products
    • Concentration & packaging of synthesized material into secretory granules

Residual body

  • Cytoplasmic inclusion
  • Varies in appearance
  • Contains indigestible material

Peroxisome

  • Membrane-bound organelle
  • Stains cytochemically for catalase
  • Catalase synthesizes and destroys hydrogen peroxide
  • Often seen in close association with smooth ER
  • Function
    • Metabolism of
      • hydrogen peroxide
      • cholesterol
      • lipids
    • Breakdown of
      • purines
      • pyrimidines

Centrioles

  • Involved cell division
  • Pair of short rods at right angles to each other
  • Self-replicate prior to cell division
  • Wall of nine tubular triplets like pinwheel
  • Function
    • Form poles of mitotic spindles
    • Form basal bodies for cilia & flagella

Cytoplasm Cytoskeleton

  • Microtubules
  • Actin microfilaments
  • Myosin filaments
  • Myosin
  • Intermediate filaments
  • Keratin filaments
  • Desmin filaments
  • Vimentin filaments
  • Neurofilaments
  • Glial filaments
  • Microtrabecular lattice

Microtubules

  • Straight structures 25 nm x several μm length
  • Labile population
    • Free in cytoplasm
    • Polymerize-depolymerize depending on
    • Temperature, pressure, drugs, etc
  • Stable population
    • Walls of centrioles
    • Axonemes of cilia & flagella
  • Wall 5 nm thick
    • around lumen-like region
    • containing 13 spirally arranged protofilaments
  • Associated with intracellular transport
  • Maintains cell shape
  • Promote movement of cilia, flagella & chromosomes

Actin microfilaments

  • Thin filaments
  • Involved with
    • Ameboid movement
    • Cytoplasmic streaming
    • Contractile ring formation
    • Muscle contraction

Myosin filaments

  • Thick filaments
  • Associated with actin in muscle cells
  • Visible as striations in striated muscle

Intermediate filaments

  • Heterogenous group
  • Includes
  • Keratin
    • Found in epithelial cells
    • Associated with desmosomes
  • Vimentin
  • Desmin
  • Neurofilaments
    • Support long processes of nerve cells
  • Glial filaments
    • Present in nonneuronal cells of central nervous system
    • Astrocytes, oligodendrocytes, microglia

Keratin filaments

Neurofilaments

Glial filaments

Cytoplasm Inclusions

  • Glycogen
    • Storage form of carbohydrate
    • Varying appearance depending on stain
  • Lipid droplets
    • Varying appearance depending on stain
  • Secretion granules
    • Varying appearance
    • Include mucous droplets, hormones, proteins, pigment

Cell surface modifications

  • Cell surfaces of epithelia has specific modifications, relating to the function of epithelia
  • Three surfaces show modifications
  • Lateral surface
    • Junctional complexes
    • Gap junctions
    • Lateral interdigitations
  • Basal surface
    • Basal lamina
    • Hemidesmosomes
    • Basal plasma membrane infoldings
  • Apical surface
    • Microvilli
    • Stereocilia
    • Cilia

Epithelia

Lines internal -

Covers external -

Surfaces of the body

Three surface areas

  • Apical surface
  • Face the lumen or external environment
  • Lateral surface
  • Where cells are in contact with each other
  • Basal surface
  • Bottom edge of cell adjacent to basement membrane

Lateral surface

  • Junctional complexes
  • Gap junctions
  • Lateral interdigitations

Junctional complexes

  • Three components
  • Zonula occludens (tight junction)
    • Outer part of adjacent plasma membranes fuse
    • Around entire apical perimeter of cells
    • Prevents entrance or exit into intercellular space
  • Zonula adherens
    • Plasma membranes separated by 10 - 20 nm
    • Reinforced on cytoplasmic surface by actin filaments
    • Adhesive and structurally supportive
  • Macula adherens
    • Focal disk shaped adhesive junction
    • Plasma membrane separated by 15 - 30 nm
    • Intermediate filaments loop from cytoplasma
    • Dense material in intercellular space

Gap junctions

  • Not limited to epithelial cells
  • Also present in CNS, cardiac muscle & smooth muscle
  • Opposing plasma membranes separated by 2 nm gap
  • Gap is bridged by connexons
  • Permit passage of ions & small molecules
  • Intercellular communication

Lateral interdigitations

  • Finger-like projections interlocking adjacent cells

Basal surface

  • Basal lamina
  • Hemidesmosomes
  • Basal plasma membrane infoldings

Basal lamina

  • Acellular support structure
  • 20 - 100 nm thick
  • Visible by electron microscope
  • Produced by epithelium resting on it
  • Consists of two zones
    • Lamina rara - low density, next to plasma membrane
    • Lamina dense - dense filament network, next to CT
    • Together = basement membrane of LM

Hemidesmosomes

  • Appearance of one-half of desmosome
  • Present along basal surface of some cells
  • Attaches cell to underlying basal lamina

Basal plasma membrane infoldings

  • Seen in ion-transporting epithelia
  • Deep invaginations
  • Compartmentalize mitochondria
  • Ion pumps in plasmalemma in close contact with energy supply (ATP from mitochondria)

Apical surface

  • Microvilli
  • Stereocilia
  • Cilia

Microvilli

  • Finger-like projections of epithelium
  • Approximately 1 µm in length
  • Increase absorptive surface
  • Brush border of kidney proximal tubule cells
  • Striated border of intestinal absorptive cells
  • Actin filaments in core

Stereocilia

  • Very long microvilli
  • Not true cilia
  • Epididymus & vas deferens

Cilia

  • Active motile specializations of epithelia that transports substances along their surface
  • 5 - 10 µm in length
  • Covered by plasma membrane
  • Contains axoneme
  • Nine pairs double tubules around two single microtubules (9+2 pattern)
  • At base cylindrical basal body with 9+0 pattern

Cell cycle

  • Consists of two main states and four phases
  • Interphase
    • Gap 1: cell increase in size, prepare for DNA synthesis
    • Synthesis: DNA replication
    • Gap 2: continue growth; prepare for division
  • Cell division
    • Mitosis: growth stop; division into daughter cells
  • Resting = Gap 0
    • Cell left the cycle and stopped dividing

Cell division

  • Mitosis
    • Prophase
    • Metaphase
    • Anaphase
    • Telophase
    • Replicated chromosomes separated into 2 new nuclei
    • 2 identical diploid cells
  • Meiosis
    • Cell division used to produce sperm or egg cells
    • Two rounds of division
    • 4 haploid cells

Mesenchymal stem cells undergoing mitosis.

Mitosis

Evilonan; Wikipedia; CC-BY-SA 4.0

Chromosomes and SARS-CoV-2

The End

Save Document

  1. Click the link above
  2. Print to PDF

Works best using Google Chrome
Others Browser YMMV