• esc key shows all the slides
  • arrows left right advance the slide
  • or click on the bottom right icons
  • mobile device swipe left right
  • ? gives instant help
How to get the most from the revision slides
  • Have a pen & paper ready
  • Answer every question
  • Mark your answer after answering
  • Elaborate on each answer
  • Add relevant clinical content
  • If you have trouble, ask

Excellence. NO EXCUSES!

EXCELLENCE

If Not Excellence, What?

If Not Excellence Now, When?

histoweb.co.za

histoweb.up.ac.za

Epithelia

&

Connective Tissues

Score each answer

Traffic Light System

Community of Truth

What is my answer?

What is the correct answer?

I am am wrong, what was my error?

THUS: Find the truth

Epithelia

&

Connective Tissues

On all content

Write today’s Date

The current Topic

Simple = single layer

Stratified = multiple layers

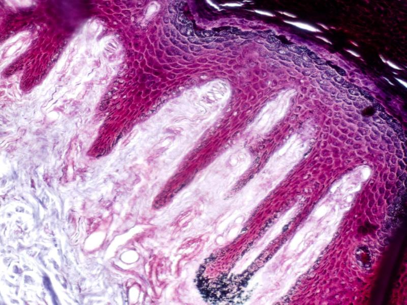
Skin

Consider a needle penetrating skin.

Describe the layers.

Up to and including the vein.

List the layers

Which layers of cells are penetrated?

What do they look like?

What is the function of each layer?

What is the function of each type of cell?

Slide 93: Thick skin - this slide is a section through the skin of the palm of the hand.
View the slides at low magnification. You should be able to see several layers, stained different colours and intensities. For a standard haematoxillin and eosin stained slide, there are three layers:
  • A dark pink to red scalloped area - the epidermis.
  • A central light pink eosinophilic area - the dermis.
  • A very thick light pink area - the hypodermis.

Contextual questions

  • Look at the palm of your hand and fingertips. The thickened outer layer is the outer layer of stratified squamous keratinized epithelium.
  • Compare and describe the visual differences seen between the skin of the palm of your hand, the back of your hand, your forearm and scalp.
  • Make a list of structures you expect to find in skin using the microscope.

All Connective Tissues

3 Components

Hypodermis

Epithelia 1:2
  • Mesothelium: Slide 3
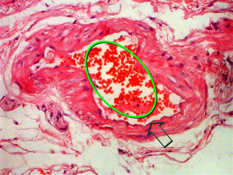
  • Endothelium: Slide 93
  • Endothelium: Slide 41
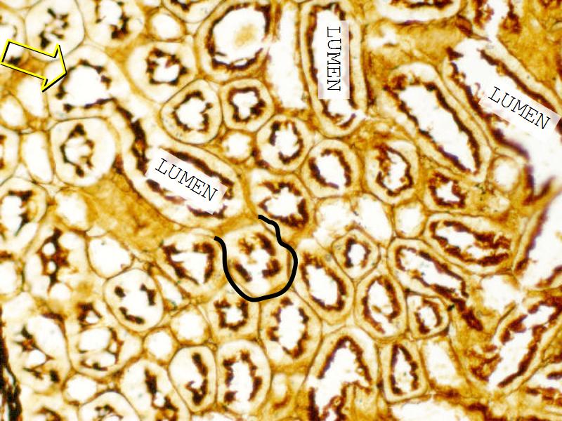
  • Simple cuboidal epithelium: Slide 76
  • Simple columnar epithelium: Slide 58
  • Simple ciliated columnar epithelium: Slide 97
  • Pseudostratified ciliated columnar epithelium: Slide 73
Epithelia 2:2
  • Thin stratified squamous unkeratinizing epihelium: Slide 29
  • Thick stratified squamous unkeratinizing epithelium: Slide 31
  • Stratified squamous keratinizing epithelium: Slide 93
  • Urothelium: Slide 78
  • Urothelium: Slide 79
Basal membrane & general connective tissue 1:2
  • Basal lamina (kidney): Slide 8
  • Connective tissue cells: Slide 42
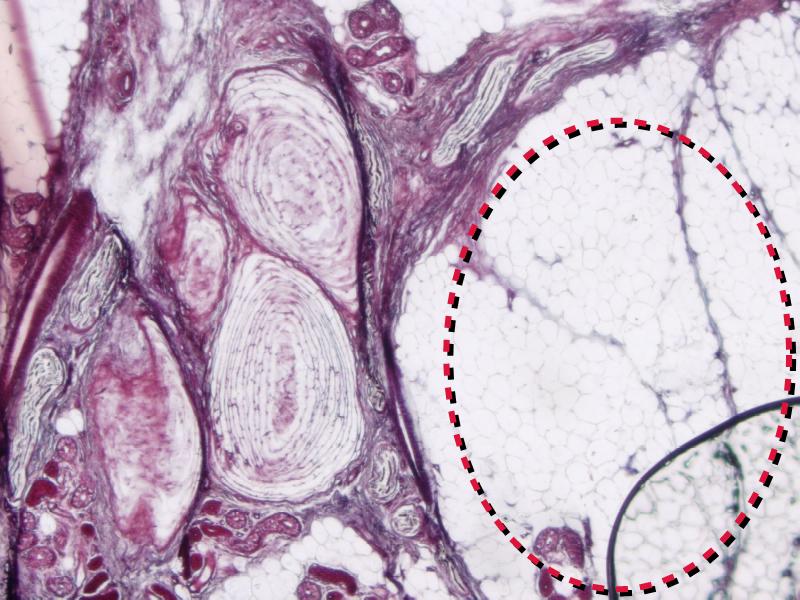
  • Fat cells: Slide 5
  • Gelatinous connective tissue: Slide 100
  • Loose connective tissue for collagen fibers: Slide 6
  • Loose connective tissue for elastic fibers: Slide 30
Basal membrane & general connective tissue 2:2
  • Reticular fibers (liver): Slide 48
  • Loose connective tissue (section): Slide 94
  • Fatty connective tissue: Slide 93
  • Dense irregular connective tissue: Slide 94
  • Dense regular connective tissue: Slide 17

Memory is the residue of thought

...Daniel Willingham

The End

Save Document

  1. Click the link above
  2. Print to PDF

Works best using Google Chrome
Others Browser YMMV