Respiratory Epithelium: Trachea

Help

  • esc key shows all the slides
  • arrows left right advance the slide
  • mobile device swipe left right
  • slides can go left-right and up-down
  • ? gives instant help
  • menu bottom left
To save as PDF, see last slide.
How to get the most from the revision slides
  • Have a pen & paper ready
  • Answer every question
  • Attempt to label all slides
  • Mark your answer after answering
  • Elaborate on each answer
  • Add relevant clinical content
  • If you have trouble, ask - you know where

Calibration

Community of Truth

What is my answer?
What is the correct answer?
I am am wrong, what was my error?
THUS: Find the truth

Philosophy 1

What is the least amount of work I can do so I can get out of here.

Philosophy 2

Today and Now I will do something for my future self.

Trachea

  • Slide 73: Trachea

Retrieval Practice

Rules

Rules

  • Ink
  • Best Effort
  • No consultation
  • Do not look up the answers

Please note: Answer slides run in parallel

Reflection

  • Is this a good reflection of your knowledge?
  • Did you improve on your previous attempt?
  • What sections do you need to spend some extra time on?
  • Do you need clarification for any specific section?

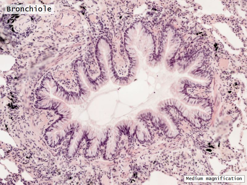
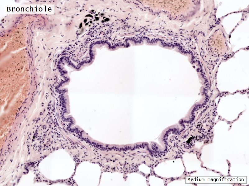
Respiratory epithelium

  • Pseudostratified
  • Ciliated
  • Columnar
  • Epithelium with
  • 4 Cells
    • Ciliated columnar cells
    • Non-ciliated columnar cells
    • Goblet cells
    • Basal cells
Trachea

The End

Save Document

  1. Click the link above
  2. Print to PDF

Works best using Google Chrome
Others Browser YMMV