ADME

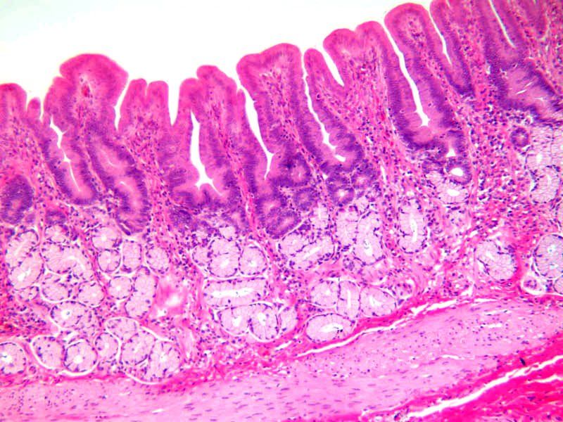
Absorption - Alimentary tract

Help

  • esc key shows all the slides
  • arrows left right advance the slide
  • mobile device swipe left right
  • slides can go left-right and up-down
  • ? gives instant help
  • menu bottom left
To save as PDF, see last slide.
How to get the most from the revision slides
  • Have a pen & paper ready
  • Answer every question
  • Attempt to label all slides
  • Mark your answer after answering
  • Elaborate on each answer
  • Add relevant clinical content
  • If you have trouble, ask - you know where

Calibration

Community of Truth

What is my answer?
What is the correct answer?
I am am wrong, what was my error?
THUS: Find the truth

Philosophy 1

What is the least amount of work I can do so I can get out of here.

Philosophy 2

Today and Now I will do something for my future self.

Calibration

Assess yourself on each question.

You want incremental improvements over time.
Going up

Assess yourself
Nailed it!
Yes
Not sure...
No
Nailed it!
Not sure...
Please note:
These will be updated regularly.

Contact me for assistance sooner rather than later using email or other instant messaging system.

Last revision: Thursday 23 April 2020

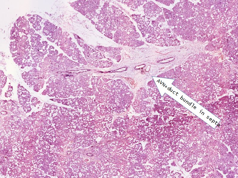
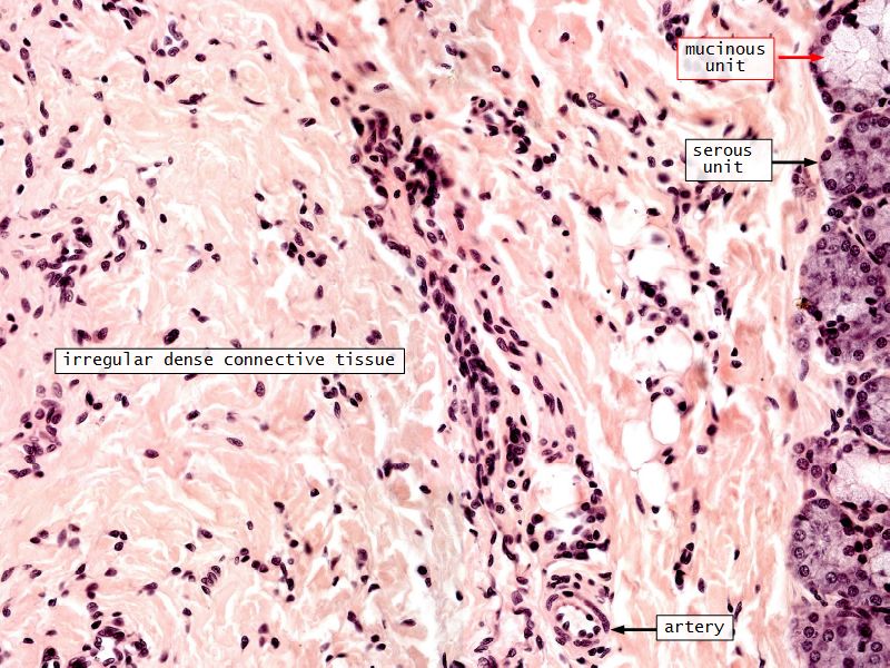
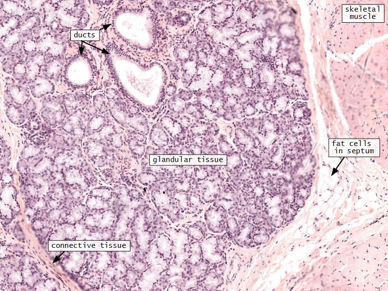
Mammary Gland and Nipple

Mammary gland - slide 57
Nipple - slide 15

See previous

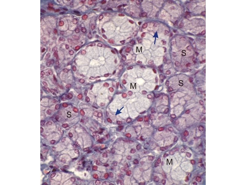
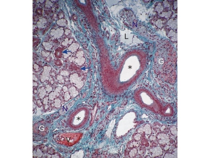
Liver
the end

The End

Save Document

  1. Click the link above
  2. Print to PDF

Works best using Google Chrome
Others Browser YMMV