• esc key shows all the slides
  • arrows left right advance the slide
  • or click on the bottom right icons
  • mobile device swipe left right
Genito-urinary system Histology
Making sense
Systematically
For
Retention - Understanding - Long term
How to get the most from the revision slides
  • Have a pen & paper ready
  • Answer every question
  • Mark your answer after answering
  • Elaborate on each answer
  • Add relevant clinical content
  • If you have trouble, ask
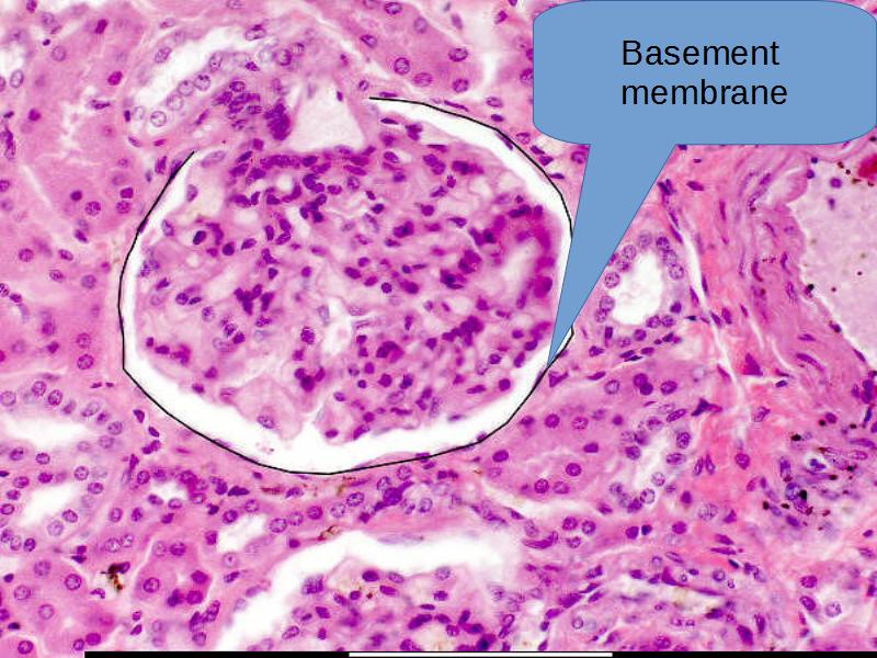
Kidney
On the next slide, annotate as many structures as you can.
Correlate the next slides with the structures on the diagram.
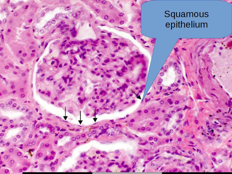
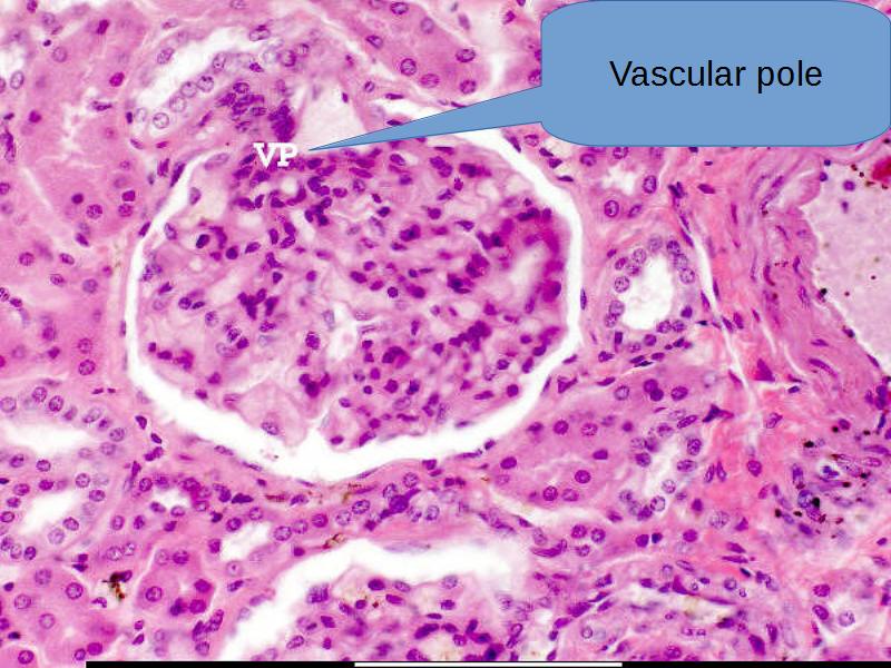
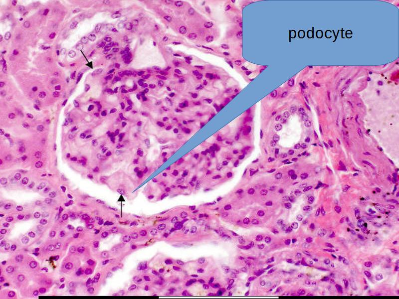
What can you identify on the next slide?
Make a list before advancing.
In which organ is cuboidal epithelium mainly found?
Cuboidal epithelium is associated with ducts. The kidney consists of ducts, most of which are lined with cuboidal epithelium.
Why is knowledge of epithelia important?

More slides:

The End

Save Document

  1. Click the link above
  2. Print to PDF

Works best using Google Chrome
Others Browser YMMV