back  

The Salivary Glands

 

The Salivary Glands

St. Louis Encephalitis (SLE) virus
  • There are three large paired glands:
    1. Parotid
    2. Sublingual
    3. Submandibular
  • The salivary glands are distinguished by the number of serous, mucous and combined secretory units
  • The glands differ further in terms of type and number of ducts

The Glands

St. Louis Encephalitis (SLE) virus

1.1 The Parotid gland

  • Is surrounded by a dense connective tissue capsule
  • Septae from the capsule divide the gland into lobules
  • In the septae fat and lymphocytes are found
  • The parotid is a compound tubulo-alveolar gland which is 100% serous
  • It contains prominent intralobular secretory ducts
Plate 67 (Fig. 1)

Ross and Romrell p. 413

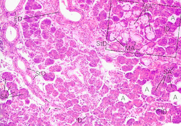
The Submandibular gland

  • Surrounded by a dense connective tissue capsule that sends septae into the gland which divide it into lobes.
  • This gland is a compound tubulo-alveolar gland with mixed secretory units:
    1. 1. Serous secretory units - 80%
    2. 2. Mucinous secretory units - 20% (also contains serous demilunes)
  • Prominent duct systems are visible
Plate 66 (Fig. 1)

Ross and Romrell p. 411

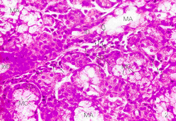
The Sublingual gland

  • Does not contain a distinct connective tissue capsule, but prominent tissue septae are present in the gland
  • This gland is a compound tubulo-alveolar gland with mixed secretory units:
    1. 1. Serous secretory units - 20%
    2. 2. Mucinous secretory units - 80% (also contains serous demilunes)
Plate 68 (Fig. 1)

Ross and Romrell p. 415

The Secretory Units

 
Fig 13.17

Wheater p. 246

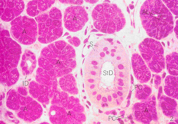
Serous Secretory Units

  • The cells of the units appear triangular while the units themselves are round
  • The nuclei are round and located close to the cell bases
  • The cytoplasm is basophilic near the base (where the nucleus is located) and the rest is acidophilic (due to the secretory vesicles)
  • The units are surrounded by myoepithelial cells which are located between the cells of the unit and the basement membrane
  • The lumen of the unit is small and inconspicuous
Plate 67 (Fig. 2)

Ross and Romrell p. 413

Mucinous Secretory Units

  • The units appear larger and paler and in cross-section the cells of the units appear more tubular than round
  • The nuclei are flattened and located against the bases of the cells
  • The cytoplasm is pale staining due to the mucus that washes out during the preparation of the specimen
  • The lumens of the units are large and prominent
Plate 66 (Fig. 2)

Ross and Romrell p. 411
Differences between mucous and serous units
Serous Mucous
Staining Dark, prominent Light, "washed out"
Shape of unit Round Tubular
Lumen Not visible with LM Visible with LM
Nuclei of secretory cells Round, prominent Flattened in base of cell

Mixed Secretory Units

  • These units consists of serous and mucinous alveoli or a combination thereof mucinous-serous alveolus
  • The latter consists of a mucinous alveolus with a serous demilune which secretes into the lumen of the mucinous alveolus via intercellular ductules
Plate 68 (Fig. 2)

Ross and Romrell p. 415

Myoepithelial cells

 
  • These special cells have processes that encircle the unit
  • The cells lie between the bases and the basement membrane of a unit
  • The nuclei are situated in the centre of the cells
  • The cytoplasmic processes are contractile and forces the secretion into the lumen of the unit

Secretory Ducts

 

Intralobular Duct

  • Intra - inside the lobules
  • There are two different intralobular secretory ducts
  • The lumens of these ducts are prominent and their cytoplasm stain acidophilic
  • The intralobular ducts originate in the lobules and continue as the interlobular ducts
  • Intercalated ducts
    • These ducts originate in the alveolus of the secretory units
    • They consist of simple cuboidal epithelium that changes into simple squamous epithelium
    • These ducts are well developed in the parotid, shorter in the submandibular and absent in the sublingual glands
  • Striated ducts
    • These ducts are the continuation of the intercalated ducts
    • They are larger and lined with simple columnar epithelium
    • The basal part of these cells have a striated appearance due to the intricate folding of the cell membrane
Fig. 15.21

Ross and Romrell p. 397

Interlobular Ducts

  • Inter - between the lobules
  • The interlobular ducts are found outside the lobules in the connective tissue septa
  • The epithelium begins as simple cuboidal and changes to simple columnar and/or pseudostratified epithelium.
  • Eventually the epithelium changes to the same epithelium that covers the surface at its opening into the oral cavity
  • The interlobular ducts join to form the main secretory duct

Slides

 
Slide Tissue
Slide 85 Parotid salivary gland
Slide 35 Submandibulary salivary gland
Slide 107 Sublingual gland
back


© augustus 202 - julie 2007 marius loots