back  

Blood

 

What is Blood?

 

 

 

 

Bloed samestelling

Blood has been described as the river of life of the body and is classified as a specialized connective tissue because it contains cells and an extracellular matrix in the form of plasma. A more inclusive definition would characterize blood as a mixture of cells, fluid, proteins and metabolites.

Blood plasma consists of about 91% water and 8% solutes. The vast majority of the solutes are proteins of which the albumins, globulins (including antibodies), fibrinogens (clotting proteins) and regulatory substances like enzymes and hormones are most important. Other solutes include electrolytes, nutrients and waste products of which urea, creatinine, uric acids, ammonia and bilirubin are clinically important. Plasma also contains dissolved gases like O2, CO2 and nitrogen. Serum is plasma without the coagulation or clotting proteins.

The usual way histologists and haematologists study blood, is to make a thin smear on a glass slide and stain it with a Romanovsky type stain. This stain contains several dyes with differential affinity for the different cellular constituents of blood. The proportions of the different cell types as well as their morphology have diagnostic value.

The cellular elements of blood are erythrocytes (red blood cells), leukocytes (white blood cells) and thrombocytes (blood platelets). Red blood cells and platelets perform their functions of oxygen transport and clotting respectively, mainly intravascularly. White blood cells have little known function in the blood, but play many important roles in the tissues. Leukocytes are divided into granulocytes and agranulocytes.

Granulocytes - display prominent granules in the cytoplasm.
  • Neutrophils
  • Eosinophils
  • Basophils
Agranulocytes - no prominent granules in the cytoplasm.
  • Lymphocytes
  • Monocytes
  • Coetzee et al p111-117
  • Stevens and Lowe p99-116
  • Wheater p46-64

Granulocytes

Neutrophil
Neutrophil

Eosinophil
Eosinophil

Basophil
Basophil

Granulocytes - display prominent granules in the cytoplasm.
  • Neutrophils
  • Eosinophils
  • Basophils
  1. Neutrophils or polymorphs are the most abundant of the circulating white cells. Neutrophils play a major role in phagocytosis and bacterial killing and their numbers increase dramatically during bacterial infection and inflammation.

    The nucleus usually consists of 2-5 lobes connected by thin chromatin strand. In female, about 3% of the nuclei display an appendage, the drumstick or Barr body, which represents the X-chromosome. The cytoplasm contains three types of granules.

    1. Primary granules stain azurophilic and are similar to lysosomes.
    2. Secondary granules are much smaller and barely visible with the light microscope. They are specific to neutrophils and contain inflammatory mediators.
    3. Tertiary granules are even smaller and contain enzymes that are secreted into the ECM. The enzymes play a role in cell adhesion and may be involved in phagocytosis.

  2. Eosinophils have a bilobed nucleus and prominent eosinophilic granules in the cytoplasm. They are instrumental in fighting parasitic infections and play a role in allergic conditions. Their granules contain proteins, which play a major role in the pathogenesis of asthma.

  3. Basophilshave a bilobed nucleus, which is often obscured by large, intensely basophilic granules in the cytoplasm. They are blood precursors of mast cells en route to the peripheral tissues and play a major role in immediate hypersensitivity reactions.
  • Coetzee et al p111-117
  • Stevens and Lowe p99-116
  • Wheater p46-64

Agranulocytes

Lymphocyte
Lymphocyte

Monocyte
Monocytes

Agranulocytes - no prominent granules in the cytoplasm.
  • Lymphocytes
  • Monocytes
  1. Lymphocytes are small cells with very little cytoplasm. They are functionally divided into T- and B-cells and play a major role in immunity.

  2. Monocytes are the blood precursor of macrophages. They are large cells with an eccentric kidney-shaped nucleus and pale blue staining cytoplasm, which contains numerous pink-purple granules. Monocytes are actively phagocytic and the granules contain digestive enzymes.
  • Coetzee et al p111-117
  • Stevens and Lowe p99-116
  • Wheater p46-64

Red blood cells and platelets

Red blood cell
Red blood cell

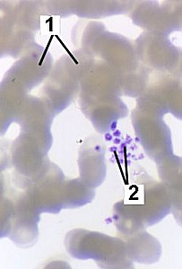
Platelets
Platelets

Mammalian red blood cells are biconcave disks without a nucleus or organelles. The cells are specialized for O2 and CO2 transport and consist primarily of the respiratory pigment haemoglobin. They appear in blood smears as bright pink cells with a lighter central area. Certain pathological conditions cause changes in their staining and morphological characteristics and their size, shape and colour are often used to make definitive diagnoses.

Platelets are not really cells. They are cytoplasmic fragments of megakaryocytes, huge precursor cells formed in the bone marrow. They contain most of the usual organelles, as well as four types of granules. In stained blood, platelets display a pale blue peripheral region, the hyalomere, and a central region, the granulomere, which contains small azurophilic granules. The granules contain mediators, which play a role in both blood clotting and vascular repair. Platelets adhere to injured blood vessels to form a so-called platelet plug. Unfortunately, they also adhere to abnormal blood vessels and are the cause of the occlusion in the coronary arteries, which causes a heart attack.

  • Coetzee et al p111-117
  • Stevens and Lowe p99-116
  • Wheater p46-64
back


© aug 202 marius loots